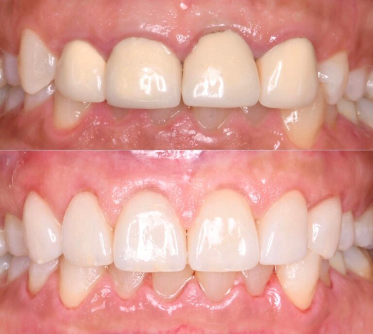
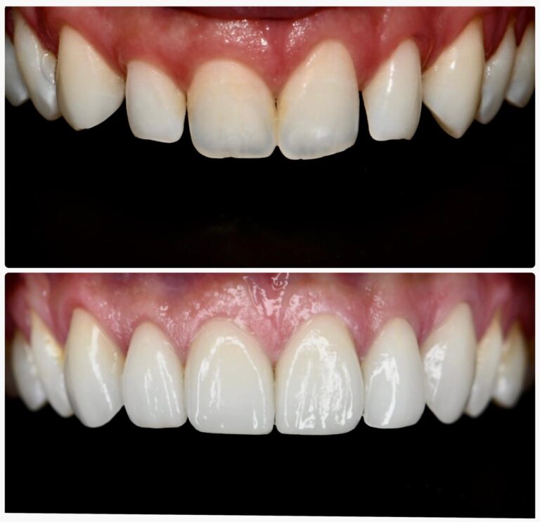
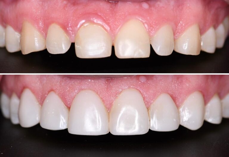
Your Smile: Before & After
Your smile is unique and deserves to reflect the best version of you.
A Smile Makeover is a fully personalized dental treatment that combines different procedures to enhance the aesthetics, harmony, and functionality of your smile.
Through a detailed analysis of your facial features, teeth, and gums, we create a customized treatment plan that may include teeth whitening, veneers, aesthetic restorations, and corrections in shape and color. The goal is to achieve a natural, balanced smile that complements your personality.
It’s not just about whiter teeth—it’s about a transformation that boosts your confidence and overall well-being.
Every Smile Makeover tells a story of transformation.
From subtle enhancements to complete smile redesigns, the results speak for themselves: more harmonious, confident, and natural-looking smiles, crafted with precision and professional care.